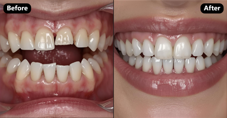
We get it. Dealing with crooked or misaligned teeth can be frustrating. It affects your oral health and nutrition and can make you (or your child) feel self-conscious—holding back that full, genuine laugh, avoiding close-up photos, or even impacting professional confidence. But it doesn’t have to be that way.
At Clover Orthodontics, we believe everyone deserves a smile they’re excited to show off. That’s why we offer personalized, comfortable, and affordable orthodontic treatment to give you the smile of your dreams. Our expert orthodontists in Clover, SC, serve families from Lake Wylie, York, SC, and Gastonia, NC, providing solutions for misaligned teeth, crooked teeth, bite issues, overcrowding, spacing problems, and more — in a friendly office where you’ll feel excited about your treatment.
Whether you’re searching for adult, teen, or kids’ braces in Clover—or effective teeth straightening treatment near Lake Wylie, York, SC, and Gastonia, NC—you just found the team that can take you from ‘I hate my smile‘ to ‘I can’t stop sharing my smile!‘. Don’t spend another day settling for a less-than-perfect smile. Call 803-676-7129 today to schedule your free smile consultation and discover how our orthodontic treatment can transform your smile.
Dr. Wenderoth is a Board Certified Orthodontist with over 30 years of experience dedicated to creating beautiful smiles. After earning his dental degree from the University of Pittsburgh and specializing in Orthodontics at Albert Einstein Medical Center, he built a renowned practice in South Carolina, where he proudly treated over 10,000 patients across two generations.
Dr. W is committed to combining clinical excellence with leading-edge technology and a superior customer experience. Since September 2023, he has brought his wealth of knowledge and expertise to the Clover Orthodontics team, ensuring every patient receives exceptional care.
Outside the office, he enjoys being a lifelong learner, an avid runner, and spending time at the beach with his family. He looks forward to meeting you and helping you achieve the confident, beautiful smile you deserve!
Dr. Spencer Coombs is thrilled to be back in the area, providing exceptional orthodontic care as a native of Rock Hill, SC. As a Board Certified Orthodontist, Dr. Coombs is committed to ensuring every patient achieves a confident smile and a healthy, properly functioning bite. He understands that choosing an orthodontist is a commitment. That’s why he dedicates significant time to making sure you are comfortable and fully understand your treatment plan, whether you choose braces or clear aligners.
Dr. Coombs graduated from Clemson, completed dental school at MUSC, and gained comprehensive experience serving 4 years as a general dentist in the U.S. Navy. He completed his specialized orthodontics residency at the Dental College of Georgia. His unique background and specialized orthodontic training ensure you receive the highest level of comprehensive and personalized care that keeps you smiling.
In his spare time, Dr. Coombs enjoys living in Fort Mill with his family, running, playing golf, and mountain biking. Schedule your visit today and let Dr. Coombs welcome you to a friendly, positive smile journey!

Are you tired of covering your mouth when you laugh or holding back that genuine smile in professional settings? Do your kids avoid social gatherings or duck out of group photos? We get it—feeling embarrassed by your teeth is tough, and constantly googling “affordable teeth straightening solution” or “braces near me” only to hit dead ends is frustrating. But a confident smile shouldn’t be a luxury!
At Clover Orthodontics, we make getting that perfect smile fun, easy, and genuinely budget-friendly for the entire family. Whether you need effective braces for kids to guide your child’s teeth or you’re ready to invest in braces for adults to finally fix that misalignment, we have a plan for you. We offer flexible, comfortable, and affordable braces that are not only customizable to your style but also make your journey to a beautiful smile efficient and straightforward.
Stop delaying your confidence. Call 803-676-7129 today to explore our payment plans and start smiling without worry!

Wish you could fix your smile without brackets, wires, food restrictions, difficult brushing, or the dreaded “braceface” nickname? We’ve got you covered! At Clover Orthodontics, we believe you shouldn’t have to put your life on hold, skip your favorite foods, or draw unwanted attention to your treatment just to achieve your dream smile. That’s why we offer Invisalign clear aligners for teens and adults in Clover, SC, near Lake Wylie, York, SC, and Gastonia, NC, to straighten smiles without the hassles of traditional braces. These smooth, removable, clear teeth aligners let you enjoy the foods you love, maintain excellent oral hygiene, and smile confidently without anyone noticing you’re in treatment. They fit effortlessly into active, busy, and professional lifestyles, helping you achieve a straighter smile on your terms.
If you’re searching for “Invisalign for adults near me” or “Invisalign for teens near me,” you’ve officially found your smile solution. Schedule your appointment today by calling 803-676-7129 and get ready to unleash your best smile without flashing a mouth full of metal.
Did you know many orthodontic problems are easier (and cheaper!) to fix when caught early? That’s why we offer early orthodontic treatment, including two-phase orthodontic treatment and early braces for kids in Clover, SC, to protect your child’s smile. These treatments can help:
If your child has crowded teeth, speech issues, thumb sucking habits, or bite problems, now is the perfect time to get them evaluated by our orthodontist for kids in Clover, SC. Healthy, confident smiles begin early, and we make the process fun, friendly, and stress-free for kids and parents.
Don’t wait for orthodontic problems to appear. Schedule an appointment today to protect your child’s future smile and set them up for a lifetime of healthy, confident grins.
Crooked or misaligned teeth aren’t just about appearance — they can lead to serious oral health issues like:
At Clover Orthodontics, we fix smiles and protect long-term health. No more hiding your teeth. No more worrying about worsening dental problems.
It’s time to transform your confidence and oral health with expert orthodontic care. Call 803-676-7129 to schedule an appointment today.
Please do not submit private health information.